Пиодермия у кошек

Автор
Владимир Владимирович Руппель - кандидат ветеринарных наук, ветеринарный врач дерматолог.
Пиодермия — это заболевание кожи, вызываемое бактериальной инфекцией. В ветеринарной литературе чаще описываются эпизоды пиодермии у собак. Вероятно, в связи с этим принято считать, что данная проблема в принципе чаще встречается у собак, нежели у кошек. Этот факт, однако, оспаривается в более современных публикациях, посвященных бактериальным инфекциям кожи у животных данного вида.1
Пиодермия практически всегда развивается вторично по отношению к различным первичным факторам: например, аллергиям, паразитарным заболеваниям, иммуносупрессивным состояниям, травмам и т. д.
В этой статье мы разберем причины развития пиодермии у кошек, ее клиническое проявление, принципы диагностики и лечения.
Бактериальный фон кожи у кошек
Здоровая кожа — не стерильна, в норме на ней обнаруживается большое разнообразие бактерий. Микробиота кожи — это один из ее защитных факторов, наряду с физическими и химическими барьерами: нормальная микрофлора кожи способна воспрепятствовать колонизации кожи иными микроорганизмами, а некоторые бактерии способны продуцировать вещества, ингибирующие рост других бактерий.
Нормальную микрофлору кожи принято делить на резидентную и транзиторную, в зависимости от ее способности к размножению.
- Резидентными называют бактерии, которые способны размножаться на поверхности кожи. У кошек это Micrococcus spp., коагулазонегативные стафилококки (S. capitis, S. epidermidis, S. simulans, S. felis, др.) и коагулазоположительные стафилококки (S. aureus, S. pseudintermedius), α-гемолитические стрептококки, Acinetobacter spp. и пр.
- Транзиторными называют те микроорганизмы, которые не могут размножаться на здоровой коже. К таким бактериям у кошек относятся β-гемолитические стрептококки, E. coli, P. mirabilis, Pseudomonas spp., Alcaligenes spp. и Bacillus spp.
Самыми частыми микроорганизмами, обнаруживаемыми на коже кошек в разных исследованиях, являются протеобактерии (Acinetobacter spp., Pasteurella spp. и Pseudomonas spp.). Среди стафилоккоков, согласно одним исследованиям, доминируют коагулазонегативные (среди которых наиболее распространены S. felis и S. capitis).2 Согласно другим статьям, на коже кошек преобладают коагулазоположительные, и чаще встречаются S. aureus и S. pseudintermedius.3,4 Коагулазонегативные стафилококки считаются менее патогенными. Распространенность S. aureus объясняется тесным контактом с человеком: домашние кошки и их владельцы обычно имеют генетически схожие штаммы S. aureus.4
Состав микробиоты кожи кошек сильно отличается в зависимости от участка тела. Если же вести речь о видовом разнообразии стафилококков на коже у этих животных, то оно очень широко.2
Количество Staphylococcus spp. увеличивается на коже людей и собак, страдающих аллергическими заболеваниями. Неясно, способны ли стафилококки легче размножаться на больной коже кошек. Несколько исследований, посвященных вопросу микробиоты кожи кошек, утверждают, что у кошек с аллергическими дерматитами увеличивалось количество Staphylococcus spp.5 и их видовое разнообразие3. При этом увеличение числа бактерий и количества их видов, по-видимому, не оказало значительного влияния на симптомы у кошек, участвовавших в исследовании, что может быть связано с неспособностью некоторых видов стафилококков прочно прикрепляться к корнеоцитам животных данного вида.6 Необходимо и дальше изучать этот вопрос, чтобы понимать влияние Staphylococcus spp. на кожу кошек в целом и на обострения аллергических дерматитов в частности.
На нормальной коже здорового животного бактерии не будут вызывать признаков инфекции, поэтому наличие пиодермии у кошки всегда следует рассматривать как косвенный признак заболевания, приведшего к ее развитию.
Причины пиодермии у кошек
Таким образом, пиодермия — это вторичная инфекция, которая развивается на фоне каких-либо первичных факторов. Среди предрасполагающих к пиодермии состояний могут быть различные кожные болезни, иммунологические и метаболические нарушения.
Самой частой группой причин, на фоне которой развивается пиодермия у кошек, считаются состояния, связанные с зудом и травмированием кожи: аллергические заболевания (см. фото 1), паразитарные болезни, др. В исследованиях, посвященных пиодермии у кошек, примерно у 60% животных были диагностированы болезни, связанные с гиперчувствительностью.1,7 Среди других заболеваний кожи, сопровождавшихся развитием пиодермии, в данных исследованиях описывались также несколько случаев карциномы in situ (см. фото 2), единичные случаи аутоиммунных дерматозов, один случай паранеопластической алопеции, ассоциированной со злокачественным новообразованием толстой кишки.1,8
К пиодермии могут также приводить различные себорейные нарушения, в т. ч., локальные — например, акне кошек.
Кроме того, развитию пиодермии могут способствовать иммунодефициты различной этиологии: вирусные (вирусный иммунодефицит кошек, вирусный лейкоз кошек), приобретенные на фоне применения иммуносупрессивной терапии, обусловленные заболеваниями эндокринной системы или злокачественными новообразованиями.
Клинические проявления пиодермии у кошек
В зависимости от того, насколько глубоко распространяется бактериальная инфекция кожи, пиодермию делят на поверхностную и глубокую. При поверхностных пиодермиях поражаются эпидермис и верхние участки волосяных фолликулов; при глубоких поражаются, соответственно, более глубокие ткани: нижние участки волосяных фолликулов, дерма и подкожная клетчатка. Чаще всего глубокая пиодермия является следствием поверхностной.
Расположение и внешний вид поражений при поверхностной пиодермии у кошек разнообразны. Часто поражения формируются в области морды, шеи, конечностей, на вентральной и латеральных поверхностях тела.9
Нередко пиодермия у кошек сопровождается зудом разной степени выраженности, особенно если она развивается вследствие аллергического заболевания. К распространенным поражениям кожи при бактериальной инфекции кожи относят: алопеции, эритему, папулы с эрозиями и корочками (т. н. милиарный дерматит), бляшки, узелки, язвы, экссудацию. Следует отметить, что у кошек характер кожных поражений несколько отличается от такового у собак. Так, у последних при пиодермии часто встречаются пустулы, эпидермальные воротнички, лихенификация и гиперпигментация кожи. В отличие от этого, у кошек в одном из описанных исследований лихенификация и гиперпигментация встречались в единичных случаях, а пустулы и эпидермальные воротнички вообще не обнаруживались.1 Другие авторы указывают на наличие пустул как на редкое проявление поверхностной пиодермии у кошек.9
Глубокая пиодермия может протекать у кошек в виде глубокого фолликулита и/или фурункулеза, воспаления подкожной клетчатки, абсцессов, пр. (см. фото 3–4). Поражения могут быть строго ограничены: например, фурункулез может стать следствием акне, абсцесс может возникнуть в результате проникающей травмы.
Глубокие поражения могут развиваться также на фоне таких редких инфекционных заболеваний, как нокардиоз, туберкулез или вследствие наличия нетуберкулезных микобактериальных инфекций.10
Внешний вид кожных поражений при пиодермии у кошек может быть схож с таковым при иных заболеваниях кожи, не связанных с бактериальной инфекцией. В связи с этим, во избежание ошибок, важно тщательно проводить соответствующую диагностику (см. таблицу 1).
Фото 2. Карцинома in situ, сопровождающаяся пиодермией.
Фото 3. Свищевой ход на грудной конечности у кошки с глубокой пиодермией.
Фото 4. Фурункулез в области подбородка.
Таблица 1. Дифференциальные диагнозы в зависимости от характера кожных поражений у кошек.9
| Вид поражения | Частые причины | Редкие причины | Диагностика |
|---|---|---|---|
| Папулы | Поверхностная пиодермия, аллергические заболевания, дерматофития | Эктопаразиты (отодектоз, тромбикулез), листовидная пузырчатка | Сбор анамнеза (обработки против эктопаразитов, контакт с другими животными), цитология, гистология |
| Алопеция, эритема, корочки, шелушение | Поверхностная пиодермия, аллергии, дерматофития, актинический дерматоз (на непигментированной коже) | Демодекоз, листовидная пузырчатка, эктопаразиты (хейлетиеллез, педикулез) | Сбор анамнеза (обработки, контакт с другими животными, что появилось раньше – поражения или зуд), соскобы, цитология (скотч-тест), гистология |
| Эрозии, изъязвления, корочки | Поверхностная пиодермия, аллергии, плоскоклеточная карцинома (на непигментированной коже) | Герпесвирусный дерматоз, карцинома in situ, васкулит | Сбор анамнеза (степень выраженности зуда, сезонность), цитология, гистология |
| Эритематозные бляшки | Поверхностная пиодермия, аллергии | Кожный ксантоматоз, кожный кальциноз | Цитология, гистология |
| Нодулы | 1) Линейные, на губах, подбородке: поверхностная или глубокая пиодермия, аллергии 2) Диффузные, с плохо очерченными границами: бактериальный целлюлит, абсцессы 3) Единичные, с четкими границами: различные новообразования, эозинофильная гранулема | 1) Мицетома, плоскоклеточная карцинома
2) Микобактерии, нокардиоз, стерильный панникулит
3) Бактериальная или дерматофитная псевдомицетома, мицетома, гистиоцитоз, стерильная пиогранулема | Цитология, гистология, посев с определением чувствительности к а/б |
| Пустулы (редко у кошек) | Поверхностная пиодермия, листовидная пузырчатка | Дерматофития | Цитология (из интактной пустулы), гистология |
Диагностика пиодермии
Основным диагностическим методом для подтверждения пиодермии является цитология. Это быстрый и простой метод исследования, который врач может выполнять непосредственно во время приема больного животного.
Материал с поверхности мокнущих поражений можно взять при помощи оттиска предметным стеклом, с сухих поражений — при помощи клейкой ленты (скотча), из узелковых поражений — посредством тонкоигольной биопсии.
После отбора пробу окрашивают при помощи модифицированного красителя Райта («Дифф-Квик»).
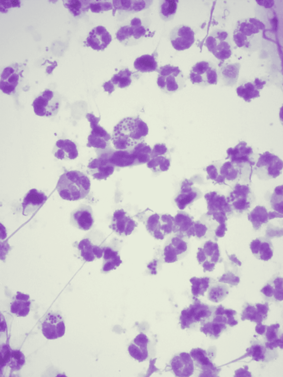
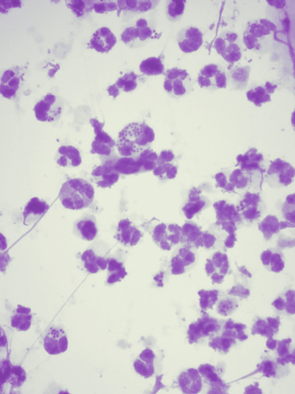
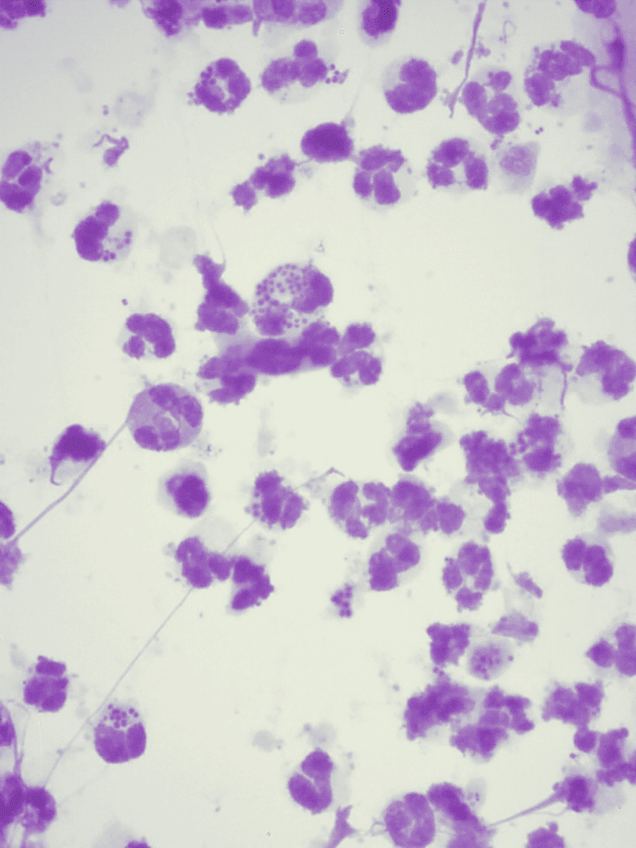
Безусловно, при помощи цитологии врач не сумеет точно определить возбудителя, но сможет распознать форму бактерий (кокковидные, палочковидные), а также распознать фагоцитоз (см. фото 5). В ряде случаев это может оказаться достаточным для принятия решения относительно дальнейшей терапии (как, например, в случаях поверхностной пиодермии: см. ниже).
Фото 5. Фагоцитоз нейтрофилами кокковидных бактерий.
При помощи цитологии можно различить колонизацию кожи бактериями и бактериальную инфекцию. На инфекцию указывает наличие дегенеративных нейтрофилов. Однозначно подтверждает инфекцию наличие фагоцитоза бактерий или обнаружение бактерий в материале, полученном из интактных поражений (например, из пустул).
Также при помощи цитологии можно обнаружить других возбудителей (например, Malassezia) и изучить клеточный состав пораженного участка кожи.
При подозрении на неопластический процесс или для обнаружения редких микроорганизмов требуются дополнительные окрашивания (например: по Паппенгейму, Цилю-Нильсену, пр.).
Также, при наличии глубоких поражений, может потребоваться гистологическое исследование кожи.
Бактериологический посев необходим в тех случаях, когда:
- в цитологическом исследовании преобладают палочковидные бактерии;
- у пациента есть глубокие поражения (абсцессы, свищи, др.);
- нет ответа на, казалось бы, должным образом подобранную эмпирическую терапию;
- планируется лечение системным антибактериальным препаратом, но пациент уже получал антибиотик (по любой причине), и с момента его отмены прошло менее 6 месяцев;
- рецидивирующие эпизоды пиодермии.
Посевы в идеале необходимо брать до начала антибактериальной терапии. Если пациент уже получает антибиотик на момент отбора материала, то образцы рекомендовано брать не ранее, чем через 48 часов от последнего приема антибиотика.11 Необходимо также предупредить лабораторию о том, что пациент получает антибактериальное лечение.
Учитывая, что пиодермия у кошек носит вторичный характер, необходима диагностика заболевания, к ней приведшего. Если этим фактом пренебречь, то достичь выздоровления не удастся; поражения будут рецидивировать.
Принципы лечения пиодермии у кошек
Эффективность лечения пиодермии у кошек зависит от следующих факторов: контроля первичного заболевания; тяжести воспалительного процесса; правильности выбора антибактериальной терапии.
В зависимости от характера и глубины поражений лечение может быть местным или системным.10
При поверхностных пиодермиях зачастую бывает достаточно только использования препаратов для местного применения. Их формы достаточно разнообразны, равно как и действующие вещества, входящие в состав.
Для лечения могут применяться мази, кремы, шампуни, спреи, пенки, салфетки. Мази и кремы, а также спреи и пенки удобно использовать в тех случаях, когда поражения единичны и строго ограничены по площади. В их состав могут входить такие лекарственные средства, как сульфадиазин серебра, неомицин, мупироцин, фузидовая кислота, гентамицин, др.
Если поражения при поверхностной пиодермии носят диффузный характер, то для лечения могут быть рекомендованы шампуни с антисептиками. В их состав чаще всего входит хлоргексидин, а также бензоила пероксид, этил лактат и др.
Купание при помощи лечебных шампуней очень эффективно для снижения бактериальной популяции на коже; также гидротерапия будет способствовать удалению дебриса с поверхности кожи и улучшению трофики тканей, что, в свою очередь, может усилить действие системных препаратов (в случаях их совместного применения со средствами для местной терапии кожи). Кратность применения шампуней может варьировать в зависимости от тяжести поражений. При использовании лечебных шампуней важно выдерживать их контакт с кожей не менее 5–10 минут.
Впрочем, для кошек купание может быть связано с большим стрессом, поэтому применение шампуней у животных данного вида возможно лишь в том случае, если кошка спокойно относится к купанию, а владелец не против этим заниматься. Наряду с этим, следует учитывать потенциальную возможность развития местных реакций со стороны кожи в ответ на применение ряда лечебных средств (например, бензоила пероксида) и использовать их с осторожностью.
Системные антибиотики применяются в тех случаях, когда поверхностная пиодермия не поддается лечению местными средствами (или применение таковых по каким-либо причинам невозможно), или если речь идет о глубоких инфекциях кожи. Но учитывая риск развития резистентности бактерий, следует рационально подходить к применению системных антибактериальных препаратов.
В целом, рутинное применение системных антибактериальных средств при поверхностной пиодермии крайне не рекомендуется. И если есть возможность обойтись без системных антибиотиков, лучше их не использовать.
Если есть необходимость применения системных антибиотиков, то принципы их применения при поверхностных и глубоких инфекциях в целом одинаковы.
При лечении системными антибактериальными средствами важно подобрать правильную дозу и определить достаточный курс лечения. Применение антибиотиков в низких дозах или короткими курсами не приведет к полному излечению инфекции, что в результате может привести к развитию резистентности у бактерий.
Необходимо учитывать, что эпидермис достаточно плохо кровоснабжается, из-за чего достичь адекватной концентрации антибиотика в коже сложнее, нежели в паренхиматозных тканях. Этим объясняется тот факт, что для лечения бактериальных инфекций кожи дозировки антибиотиков могут быть достаточно высокими.
Как отмечалось ранее, важной является соответствующая длительность применения системного антибиотика. При лечении пиодермии антибиотики назначаются в среднем на 3–4 недели или дольше — в этот срок закладывается то время, за которое исчезают признаки бактериального воспаления, и 7–14 дней сверх него. Необходимо также учитывать возможность развития определенных нежелательных реакций на фоне применения того или иного антибактериального средства.11
При поверхностной пиодермии, при преобладании кокковидных бактерий в цитологии, врач может начать эмпирическую антибактериальную терапию. В этом случае препаратами первого выбора будут являться:
- амоксициллин+клавуланат (20–25 мг/кг каждые 12 часов);
- цефалексин (22–30 мг/кг каждые 12 часов).
Крайне рекомендовано проводить посевы на определение чувствительности у тех пациентов, которые не ответили на антибиотики первого выбора.
В том случае, если эмпирическая терапия не оказала должного эффекта или при наличии резистентности к метициллину, возможно прибегнуть к антибиотикам второго выбора:
- клиндамицин (5–11 мг/кг каждые 12 часов);
- доксициклин (5 мг/кг каждые 12 часов или 10 мг/кг каждые 24 часа).
Антибиотики третьего выбора не следует использовать рутинно, особенно — при поверхностной инфекции. Их применение может быть оправдано при поражениях, вызванных синегнойной палочкой, микобактериальных инфекциях или в том случае, когда результат бактериологического исследования указывает на устойчивость к антибактериальным средствам первого или второго выбора.
К препаратам третьего выбора относятся:
- прадофлоксацин (5–7,5 мг/кг каждые 24 часа);
- марбофлоксацин (5,5 мг/кг каждые 24 часа);
- орбифлоксацин (5,5–7,5 мг/кг каждые 24 часа);
- рифамицин (5–8 мг/кг каждые 24 часа);
- гентамицин, амикацин и др.
Применение препаратов третьей линии может быть сопряжено со значительными побочными эффектами.
Большинство фторхинолонов могут вызывать дегенеративные изменения в сетчатке глаза у кошек. Эффект, по-видимому, зависит от дозы; также более новые препараты этой группы (прадофлоксацин, марбофлоксацин) представляются достаточно безопасными для применения у этого вида животных. Среди прочих побочных явлений описаны расстройства со стороны желудочно-кишечного тракта и неврологические симптомы.
Аминогликозиды могут быть нефро- и ототоксичными у кошек, особенно в высоких дозах. Не стоит применять их у пациентов с нарушением функции почек.
Рифампицин может быть гепатотоксичен, его нужно применять с контролем печеночных ферментов. Кроме того, это мощный индуктор цитохрома P450; одновременное применение с другими лекарственными средствами может привести к опасным взаимодействиям.
Кошкам не следует применять хлорамфеникол, поскольку животные этого вида очень чувствительны к этому препарату.13
Антибиотики резерва, рассматриваемые как крайний вариант для лечения в человеческой медицине, не должны применяться в ветеринарной медицине.
Несколько заключительных тезисов:
- Пиодермия у кошек — это вторичное состояние, которое может развиться на фоне ряда первичных заболеваний.
- Отсутствие лечения может привести к усугублению бактериальной инфекции кожи и прогрессированию поражений.
- Эффективное лечение пиодермии возможно лишь в случае, когда первичное заболевание устранено или взято под контроль.
- Для лечения поверхностной пиодермии рекомендовано использовать антисептики или местные антибактериальные средства, но в некоторых случаях могут потребоваться и системные антибиотики.
- В целом, необходим крайне рациональный подход к использованию системной антибиотикотерапии при бактериальной инфекции кожи.
- Рекомендована лабораторная оценка чувствительности микроорганизмов к антибактериальным лекарственным средствам, особенно при развитии рецидивов пиодермии.
- Yu, H. W., & Vogelnest, L. J. (2012). Feline superficial pyoderma: a retrospective study of 52 cases (2001-2011). Veterinary Dermatology, 23(5), 448–e86.
- Older CE, Diesel AB, Starks JM, Lawhon SD, Rodrigues Hoffmann A. Characterization of staphylococcal communities on healthy and allergic feline skin. Vet Dermatol. 2021 Feb;32(1):61-e10.
- de Jong A, Youala M, El Garch F, Simjee S, Rose M, Morrissey I, Moyaert H. Antimicrobial susceptibility monitoring of canine and feline skin and ear pathogens isolated from European veterinary clinics: results of the ComPath Surveillance programme. Vet Dermatol. 2020 Dec;31(6).
- Cavana P, Robino P, Stella MC, Bellato A, Crosaz O, Fiora SR, Nebbia P. Staphylococci isolated from cats in Italy with superficial pyoderma and allergic dermatitis: Characterisation of isolates and their resistance to antimicrobials. Vet Dermatol. 2023 Feb;34(1):14-21.
- Older CE, Diesel A, Patterson AP, Meason-Smith C, Johnson TJ, Mansell J, Suchodolski JS, Rodrigues Hoffmann A. The feline skin microbiota: The bacteria inhabiting the skin of healthy and allergic cats. PLoS One. 2017 Jun 2;12(6).
- Woolley KL, Kelly RF, Fazakerley J, Williams NJ, Nuttall TJ, McEwan NA. Reduced in vitro adherence of Staphylococcus species to feline corneocytes compared to canine and human corneocytes. Vet Dermatol. 2008 Feb;19(1):1-6.
- Wildermuth, B. E., Griffin, C. E., & Rosenkrantz, W. S. (2006). Feline Pyoderma Therapy. Clinical Techniques in Small Animal Practice, 21(3), 150–156.
- Grandt LM, Roethig A, Schroeder S, Koehler K, Langenstein J, Thom N, Neiger R. Feline paraneoplastic alopecia associated with metastasising intestinal carcinoma. JFMS Open Rep. 2015 Dec 11;1(2).
- Chiara Noli, Silvia Colombo. Feline Dermatology, 2020.
- William H. Miller et al. Muller and Kirk’s Small Animal Dermatology, 7 th Edition. Philadelphia, PA: Elsevier, 2013.
- Beco L, Guaguère E, Lorente Méndez C, Noli C, Nuttall T, Vroom M. Suggested guidelines for using systemic antimicrobials in bacterial skin infections (1): diagnosis based on clinical presentation, cytology and culture. Vet Rec. 2013 Jan 19;172(3).
- Brissot, H., Cervantes, S., Guardabassi, L., Hibbert, A., Lefebvre, H., Mateus, A. L. P., Noli, C., Nuttall, T., Pomba, C., & Schulz, B. GRAM: Guidance for the rational use of antimicrobials: Recommendations for dogs and cats. Ceva Santé Animale, 2016.
- Rosanna Marsella. Clinical approach to Feline Dermatologic Diseases, 2021.
